P20 Elite
Noch bessere verlässliche Unabhängigkeit
Noch bessere verlässliche Unabhängigkeit
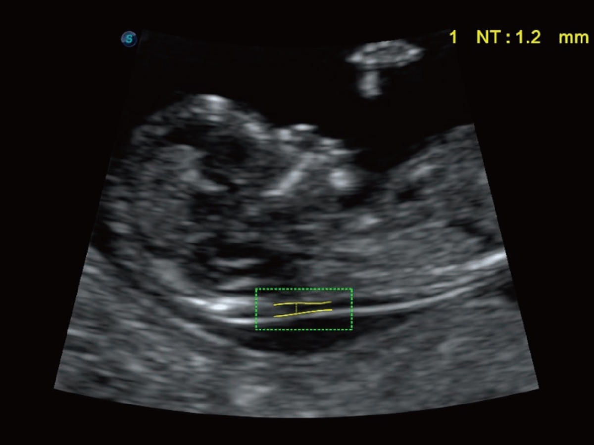
Mit dem neuen P20 Elite-Ultraschallsystem von SonoScape, das mit seinem Monokristallaufbau, der erweiterten Bildtechnologie und der benutzerdefinierten Flexibilität vereint, gelingt die Diagnostik in der Frauenheilkunde und bei allgemeinen Bildgebungsanwendungen noch einfacher und sicherer. Die Komplettlösung für Sie und Ihre Patienten für komfortable Untersuchungen auf engem Raum.
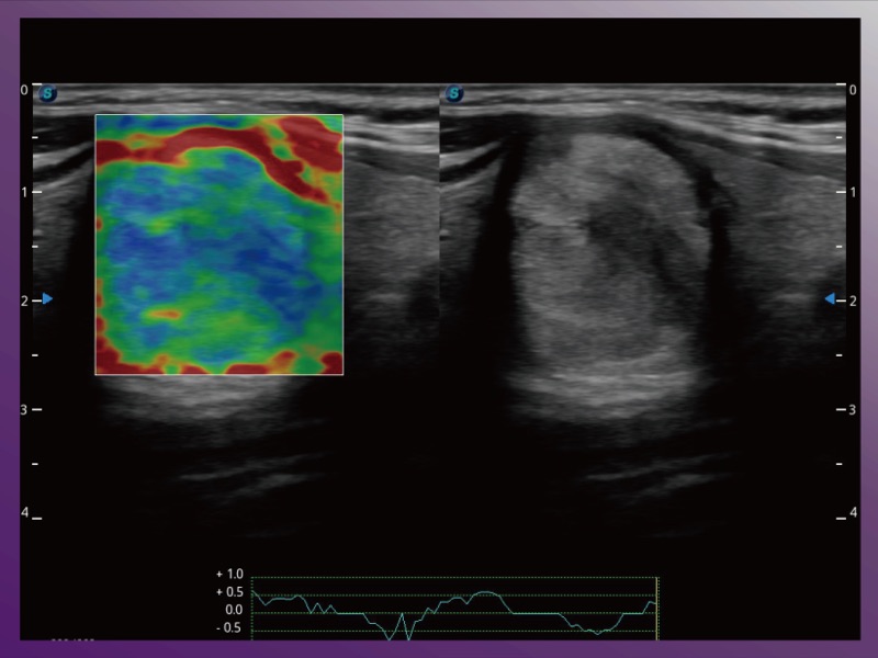
Die C-xlasto Bildgebung erlaubt eine umfassende quantitative Elastizitätsanalyse, bei der das System schnell das Dehnungsverhältnis berechnet und ungewöhnlich harte oder weiche Veränderungen im Weichteilgewebe anzeigt. Gleichzeitig wird die Funktion durch mehrere Schallköpfe unterstützt, was hochgradig konsistente, quantitative Elastizitätsergebnisse mit guter Reproduzierbarkeit sicherstellt.
Die 3D-ähnliche Farbdoppler-Strömungsmessung mit Bright Flow, die ohne einen Volumensensor auskommt, verbessert die Abgrenzbarkeit der Gefäßwände. Dieser innovative, naturgetreue Ansatz hilft dem Anwender bei der intuitiven Darstellung des Blutflusses. Intuitive und einfache Darstellung von durchbluteten Strukturen mit weniger Blutflussartefakten, was für die Abgrenzbarkeit kleiner Gefäße und sich kreuzender Gefäße von Vorteil ist.
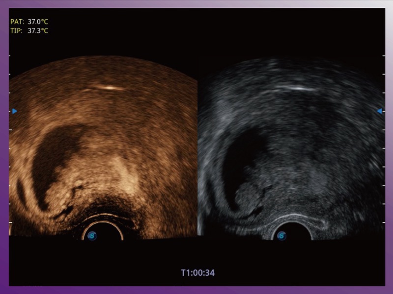
Die Kontrastmittel sorgen für eine starke Signalreflexion, so dass schwer einsehbarer Blutfluss besser dargestellt werden kann. Regelt den Schalldruck und bietet eine vielversprechende Bildqualität bei geringerer Wirkstoffdosis.
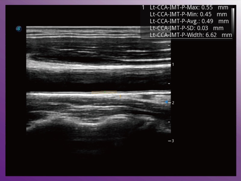
Auto IMT ist ein intelligentes Instrument zur Analyse des potenziellen Risikos eines Patienten für Herz-Kreislauf-Erkrankungen. Durch Anklicken einer Schaltfläche können Sie sowohl die Intima-Media-Dicke sowohl der Vorder- als auch Hinterwand der A.carotis communis messen. Dieses einfache Verfahren steigert die Produktivität der Untersuchung und erhöht ihre diagnostische Aussagekraft.
Das P20 Elite ist mit einem 23,8-Zoll-LED-Display ausgestattet, das eine hervorragende Kontrastauflösung und Bildschärfe für eine bessere Darstellung und mehr Diagnostikinformationen bietet.
Der hochempfindliche Touchscreen passt sich den Sehgewohnheiten des Anwenders in jeder Untersuchungsumgebung an.
Der kompakte Aufbau mit 4 aktiven und 1 passiven Buchse ermöglicht eine breite Palette von klinischen Anwendungen.
Die eingebaute Hochleistungsbatterie ermöglicht den Transport bei gleichzeitig weiterlaufender Untersuchung.
Halterung für den endokavitären Schallkopf



