Intelligenz Artikuliert

P60

Der P60, konfiguriert mit SonoScape's neuester herausragender Wis+ Plattform, ist darauf ausgelegt, durch authentische Detaildarstellung, einfache aber effektive intelligente Analyse und optimierten Arbeitsablauf eine noch tiefgreifendere und konstruktivere Diagnose zu ermöglichen.

Wis+

Eine auf künstlicher Intelligenz basierende Ultraschallplattform

  • Intelligent

  • Präzise

  • Effizient

Künstliche Intelligenz*

bringt beispiellose Verbesserungen in Effizienz und Genauigkeit

Die Integration von KI auf P60 vereinfacht nicht nur den Workflow erheblich, sondern bietet auch eine verbesserte Reproduzierbarkeit und Konsistenz bei Messungen.

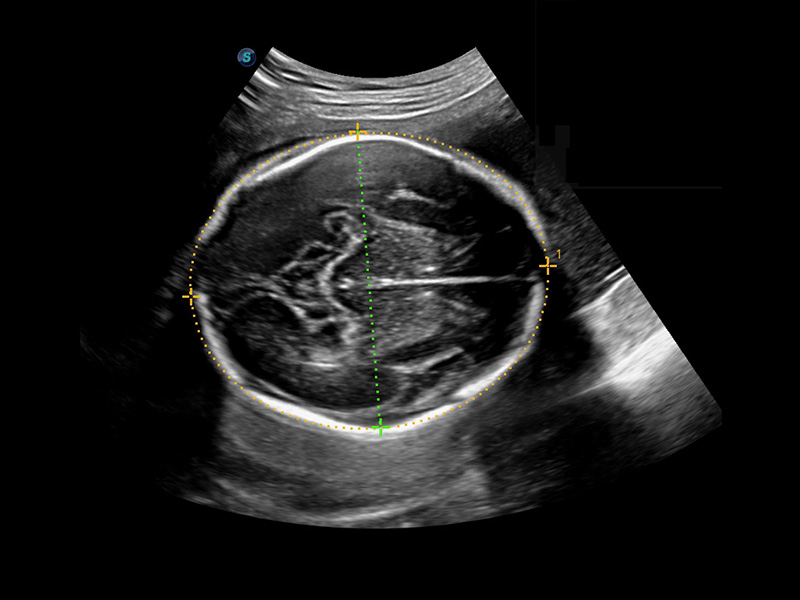
1 OFD(HC): 87.03 mm
HC: 251.00 mm
GA: 27w 1d
HC/AC: 96.13 %

2 BPD: 70.56 mm
GA: 28 w 2d

S-Fetus(acq.)
& S-Fetus(meas.)

S-Fetus*

S-Fetus ist ein benutzerfreundliches Werkzeug, das eine vollständig automatische und genaue Erkennung der wichtigsten Ebenen und häufig verwendeten Messungen der fetalen Biometrie ermöglicht. Mit einer Cine-Schleife des fetalen Kopfes kann S-Fetus die Standard-Ebenen extrahieren und die Messergebnisse in einer Sekunde anzeigen, wodurch die erforderliche Anzahl von Tastenanschlägen und Arbeitszeit erheblich reduziert wird. Es wurde entwickelt, um die Untersuchungen in der Geburtshilfe in ein viel gemütlicheres, schnelleres und angenehmeres Erlebnis zu verwandeln.

  • Tumor_H: 4.58 mm
  • Tumor_W: 3.71 mm
  • Tumor_Area: 0.13 mm2
  • Shape

    Taller than wide 3
  • Margin

    Lobulated or irregular 2
  • Echogenicity

    Hypoechoic 2
  • Echogenic Foci

    None or large comet tall artifacts 0
  • Composition

    Solid or almost completely solid 2
Total Points: 9
Advice: >=1.0cm Follow
>=1.5cm FNA
S-Thyroid

S-Thyroid*

S-Thyroid ist ein fortschrittliches Werkzeug zur Erkennung und Klassifizierung von verdächtigen Schilddrüsenläsionen basierend auf den ACR TI-RADS-Richtlinien (American College of Radiology Thyroid Imaging Reporting and Data System). Nach Auswahl der Region von Interesse kann S-Thyroid automatisch die Grenzen der Läsion definieren und einen Bericht über die Merkmale der verdächtigen Läsion generieren.

* Due to regulatory reasons their future availability cannot be guaranteed.

CEUS

CEUS (Kontrastmittelverstärkte Sonografie) entfaltet das volle Potenzial der Mikroflussbildgebung.

Das umfassende Paket zur kontrastverstärkten Ultraschallbildgebung und Quantifizierung auf dem P60 bietet Ärzten eine umfassende Lösung zur Bewertung der Perfusionsdynamik in einer Vielzahl klinischer Einstellungen.

  • Maligner Schilddrüsenknoten mit CEUS

  • Obstruktive Cholestase mit MFI

  • HCC mit Mix Mode

  • HCC mit MFI-Time

  • CEUS mit TIC-Kurve

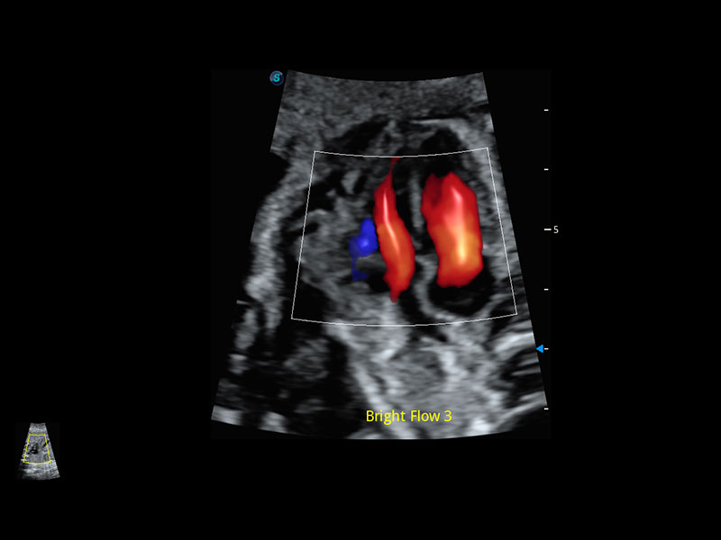
Micro F

Ermöglicht die Visualisierung von mikrovaskulären Strukturen

Micro F bietet eine innovative Methode zur Erweiterung des sichtbaren Flussbereichs im Ultraschall, insbesondere zur Visualisierung von langsam fließenden winzigen Gefäßen. Durch die Verwendung eines fortschrittlichen adaptiven Filters und die Akkumulation von zeitlichen und räumlichen Signalen kann Micro F den geringen Blutfluss effektiv von Bewegungen des überlagernden Gewebes unterscheiden und die Hämodynamik mit höherer Empfindlichkeit und räumlicher Auflösung darstellen.

  • Fetale Pericallosal Arterie mit Micro F

  • Nierenblutfluss mit Micro F

  • Schilddrüsenknoten mit Micro F

  • Zervikale Lymphknoten mit Micro F

  • Nierenblutfluss mit Micro F

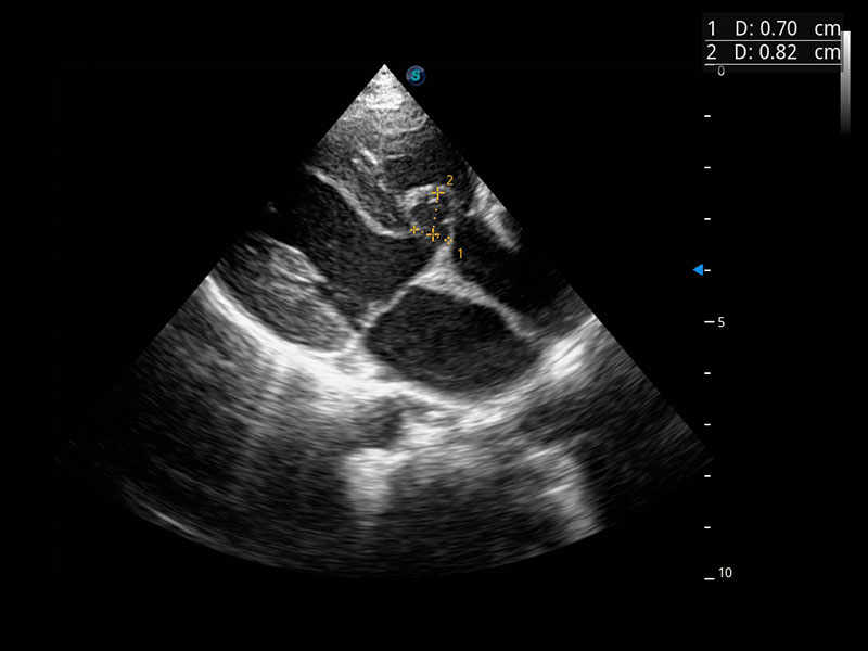
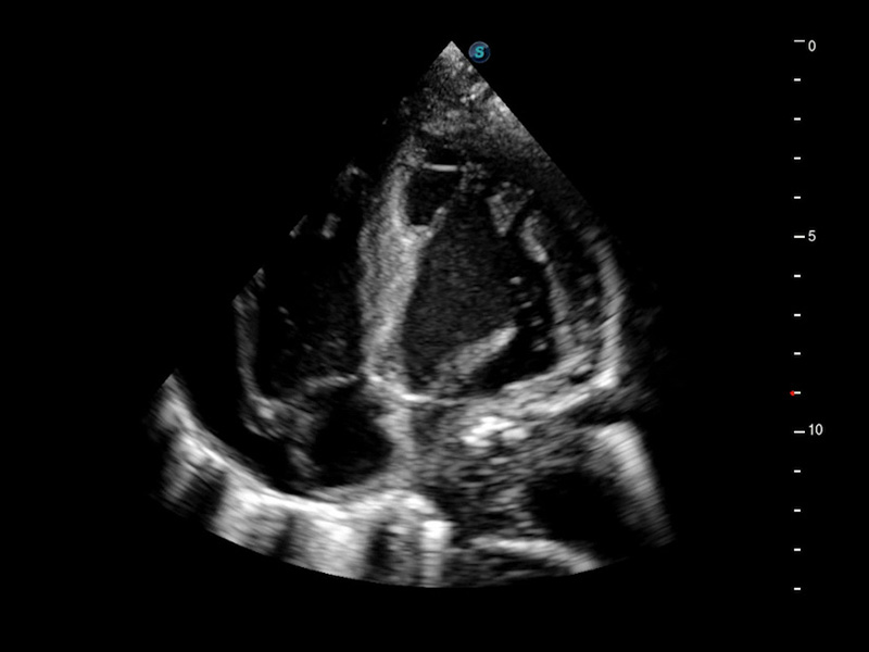
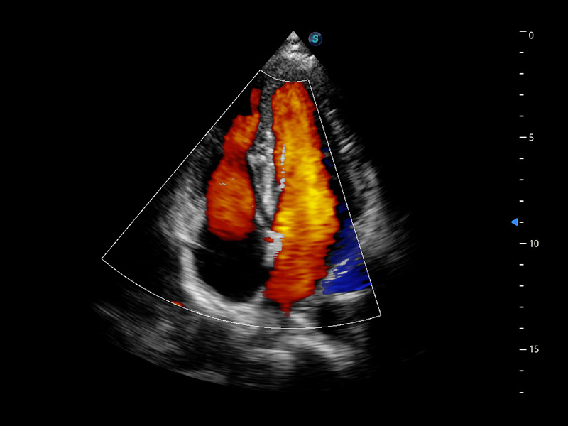
Advanced Cardiovascular

Strebt nach einer umfassenden Lösung für die kardiovaskuläre Bewertung

Ausgestattet mit SonoScapes einzigartigen reinen Single-Crystal-Phased-Array-Schallköpfen und modernster Verarbeitungstechnologie ist P60 bestrebt, jedes feine Detail und Element für eine präzise Diagnose wiederherzustellen. Die neue Myocardium Quantitative Analysis (MQA) bietet eine eingehende quantitative Berichterstattung über die globalen und regionalen Myokardwandbewegungsdynamiken des linken Ventrikels und bietet Ärzten eine umfassende Bewertung der Myokardfunktionen.

  • Stress-Echo

  • MQA mit Strain Analysis

  • Tissue Doppler Imaging

  • LV-Opazifizierung

  • Auto EF

Umfangreiche Sonden

Erweitern Sie das Anwendungsspektrum

Die umfassende Auswahl an linearen, konvexen, phasengesteuerten, endokavitären, volumetrischen und Spezialsonden berührt alle Aspekte der Ultraschalluntersuchung und erfüllt genau die Anforderungen der klinischen Bildgebung. Jede Sonde ist sorgfältig auf eine hervorragende Bildqualität abgestimmt. Die neueste Handwerkskunst und das in den Sonden verwendete akustische Material zielen darauf ab, ein authentisches und brillantes Bildgebungserlebnis zu schaffen, das in routinemäßigen Fällen oder bei technisch anspruchsvollen Patienten vollständige Leichtigkeit und Vertrauen ermöglicht.

Optimiertes Design

Inspiriert jedes ergonomische Scannen

Das Design des P60 konzentriert sich auf Einfachheit und Kompaktheit, ohne Abstriche bei der leistungsstarken Performance zu machen. Ein höhenverstellbares und seitlich drehbares Bedienfeld sowie ein beweglicher Monitorarm können im Wesentlichen alle Anforderungen unter verschiedenen Scanbedingungen erfüllen.

  • 1
  • 2
  • 3
  • 4
  • 5
  • 21,5-Zoll-LED-Monitor

    P60 verfügt über einen großen 21,5-Zoll-HD-LED-Monitor, der eine ausgezeichnete Bildanzeige für Benutzer bietet.

  • 13,3-Zoll-Neigungs-Touchscreen

    Der 13,3-Zoll-Touchscreen ermöglicht es Benutzern, Funktionen einfach zu durchsuchen und auszuwählen. Ein kippbares Design ermöglicht eine Anpassung an die Bedürfnisse der Benutzer.

  • Benutzerfreundliches Layout

    Das einzigartige Konsolendesign bietet einfachen Zugriff auf alle Arten von häufig verwendeten Operationen. Verknüpfungen und anpassbare Tasten machen es Benutzern möglich, den Arbeitsablauf nach ihren Wünschen anzupassen.

  • Gelwärmer

    Um eine komfortable Patientenerfahrung zu gewährleisten, kann ein Gelwärmer an der Seite der Bedienungstafel installiert werden.

  • Integrierter Akku

    Ein integrierter Akku ermöglicht es P60, ohne Stromversorgung 2 Stunden lang zu arbeiten, so dass Benutzer sich keine Sorgen machen müssen, dass es aufgrund eines Stromausfalls zu einem unbeabsichtigten Stillstand und Datenverlust kommt.

Bildgalerie

* Technology and features are system/configuration dependent. SonoScape Medical reserves the right to change the above information and discontinue any product at any time without prior notification and will not be liable for any consequences resulting from the use of this publication.