Das umfassende Bildgebungsystem der Tiemedizin für alle Gebiete (Shared Service)
Farbdoppler-Ultraschallsystem für die Tiermedizin
Farbdoppler-Ultraschallsystem für die Tiermedizin
Für alle Kreaturen, ob groß oder klein. Tiere sind die engsten Freunde und treuesten Partner des Menschen. SonoScape hat sich schon immer der Entwicklung von speziellen Lösungen für die diagnostische Bildgebung in der Tiermedizin verschrieben. SonoScape beginnt eine neue Phase in der Ultraschallbildgebung und bringt die brandneuen Systeme der ProPet-Serie auf den Markt, die professionelle veterinärmedizinische Lösungen für eine Vielzahl von Tierarten bieten, von kleinen Haustieren bis hin zu Großtieren. ProPet 70 ist eine zuverlässige Ultraschalllösung für Tierärzte, die mit intuitiver Bedienung bei der Erfassung entscheidender klinischer Befunde und aussagekräftiger Abklärungen bei einer Vielzahl von Tierarten hilft. Das Gerät vereint die neueste intelligente veterinärmedizinische Software mit der Monokristall-Schallkopftechnologie, um außergewöhnliche Bilder zu liefern, die auch subtilste Veränderungen erkennen lassen - bei Doggen bis hin zu winzigen Exoten - und liefert deutlich bessere klinische Ergebnisse mit unglaublichen Werten, die Ihre Erwartungen übertreffen.
Das ProPet 70 verfügt über einen optionalen 23,8-Zoll-Full-HD-LED-Bildschirm, der bei allen Lichtverhältnissen eine hervorragende Kontrastauflösung, Bildschärfe und lebendige Farben bietet.
13,3-Zoll-Touchscreen mit Blend- und Fingerabdruck-Schutz, drehbar um 15 Grad
Wasserdicht und geschützt gegen Tierhaare
Die Energieverwaltung unterstützt 2 Stunden Dauerbetrieb pro Batterieladung im Falle eines Stromausfalls
Durch den Wegfall des häufigen Schallkopfwechsels spart der Kliniker wertvolle Zeit und Energie
Das höhenverstellbare Bedienfeld hat ein vereinfachtes Konsolenlayout, das eine intuitive Bedienung für eine Vielzahl von tierärztlichen Untersuchungen ermöglicht
Mit seinem großen Schwenkbereich passt sich der frei schwenkbare Monitorarm Ihren wechselnden Erfordernissen an.
Katzen, kleine bis mittelgroße Hunde und exotische Kleintiere
Bei Eingriffen wie Nervenblockaden und Gewebebiopsien zeigt die verbesserte Technologie der Nadeldarstellung die Position der Nadel im Körper des Tieres ohne Verzerrung an.
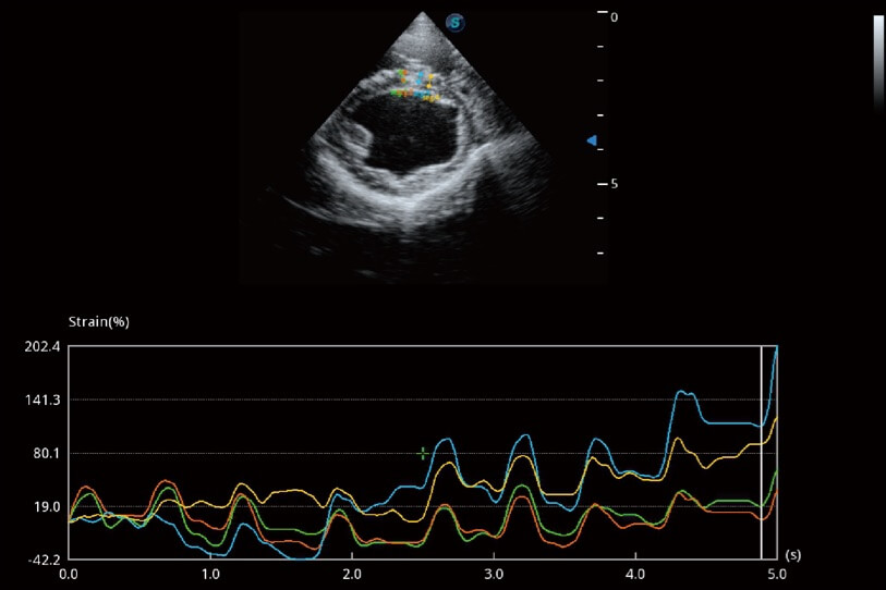
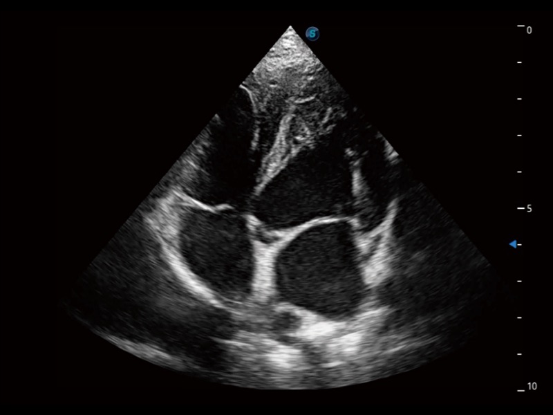
Die präzise Erkennung der linksventrikulären Wandbewegung mit globalem 2D-Speckle-Muster-Tracking ermöglicht eine genaue quantitative Analyse einschließlich Dehnung, Dehnungsrate, Auslenkung, Geschwindigkeit usw. der Myokardwände.
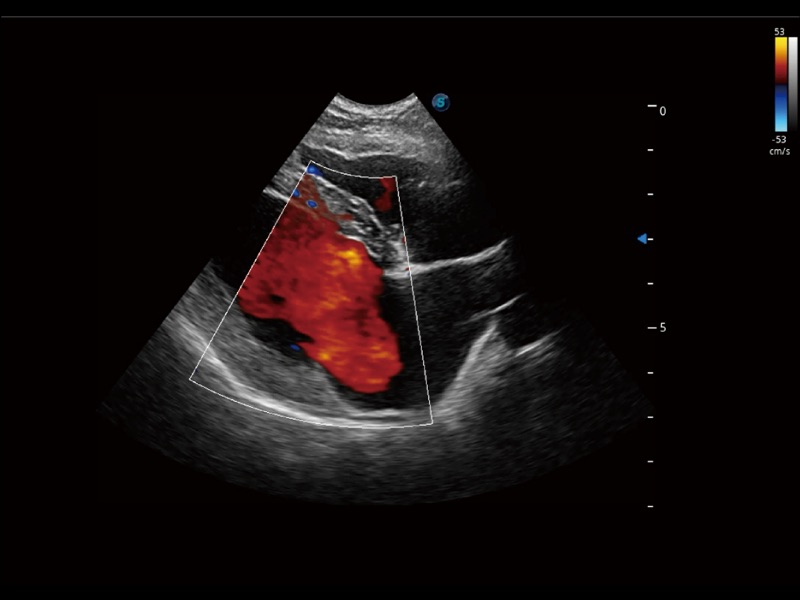
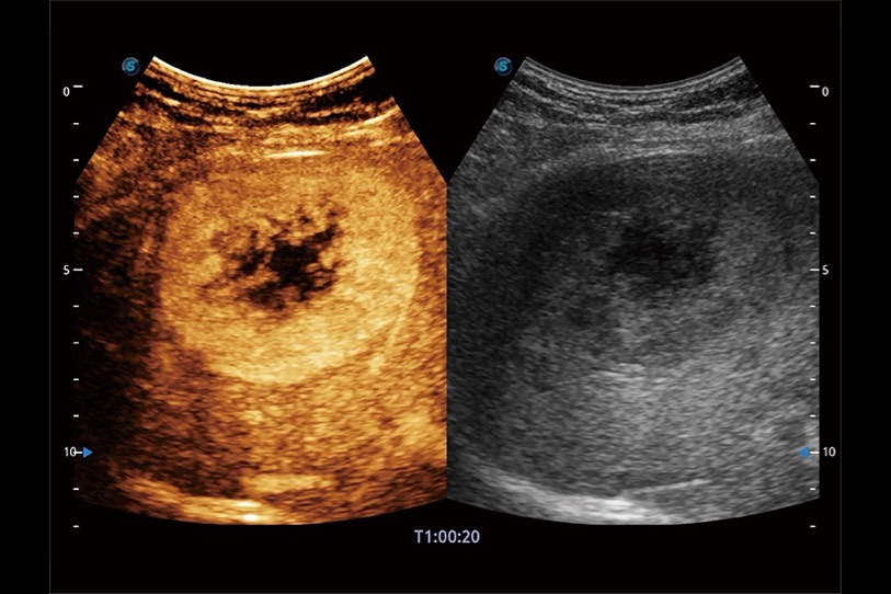
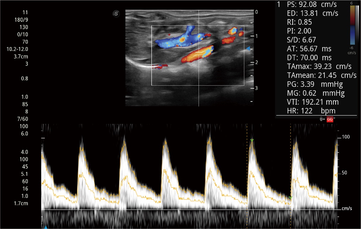
Unterscheidet effektiv zwischen kleinstem Fluss und überlagernder Gewebebewegung und stellt die Hämodynamik mit höherer Empfindlichkeit und räumlicher Auflösung dar.
Eine unkomplizierte Vorlage für Kliniker, die mehrere dynamische Bilder in Ruhe und nach Belastung aufnehmen und nebeneinander vergleichen können. Für eine weitergehende effektive Abklärung der Vitalität des Herzmuskels werden professionelle Scores und Berichte zur Wandbewegung des Tieres bereitgestellt.
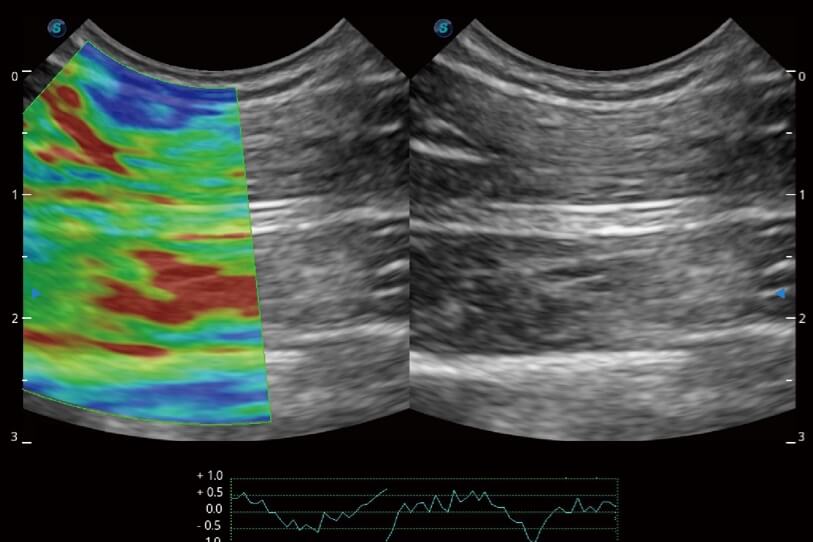
Erlaubt die Abklärung der Gewebesteifigkeit in Echtzeit in Form einer Farbkarte, um mögliche Abweichungen in normalen Geweben zu erkennen.
Die automatische Berechnung der Ejektionsfraktion anhand der linksventrikulären Wandverfolgung und der Simpson-Regel spart gegenüber der manuellen Messung Zeit und Mühe.
Die nichtlineare Ultraschallbildgebung mit Kotrastmittel nutzt harmonische und Basissignale in vollem Umfang, um so ein besseres Bild des schwer einsehbaren Blutflusses zu erhalten. Liefert eine farbkodierte parametrische Ansicht, die den Aufnahmezeitpunkt des Kontrastmittels in verschiedenen Perfusionsphasen anzeigt, was der besseren Gewebedifferenzierung dient.
Die Funktion wurde entwickelt, um das Speckling zu reduzieren und gleichzeitig die Gleichmäßigkeit des Bildes und die Kontinuität der Ränder zu verbessern, was eine authentische Darstellung der Details ermöglicht und die Darstellung von Läsionen verbessert.
Große Hunde, Pferde, Nutztiere und exotische Großtiere
Nutzt mehrere Sichtlinien zur optimalen Kontrastauflösung, Speckle-Reduzierung und Randerkennung, was bei der oberflächlichen Bildgebung ideal für die bessere Klarheit und Kontinuität der Strukturen ist.
Echtzeit-2D- und Farb-/Power-Doppler-Panoramabilder ermöglichen die Erweiterung des Sichtfeldes, und eventuelle Fehler können leicht zurückverfolgt und korrigiert werden, ohne den Untersuchungsvorgang unterbrechen zu müssen.
Ermöglicht eine dynamische und lebendige Doppler-Darstellung mit hoher Empfindlichkeit und gleichzeitig den realistischen Nachweis zur Erkennung von langsamem Fluss.
Die 3D-ähnliche Farbdoppler-Durchflussmessung verstärkt die Abgrenzung der Gefäßwände und hilft dem Anwender bei der besseren intuitiven Darstellung des Blutflusses.
Neu entwickelte 2D-Optimierungstechnologie zur Verbesserung des Kontrasts und der gesamten Bildstruktur mit besseren Details.
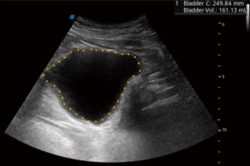
Die zentrale Verfolgung der Blasenwand und die Volumenmessung mittels Auto Bladder kann effizient genauere Konturen und Ergebnisse liefern, die nicht von Form und Größe der Harnblase abhängen.
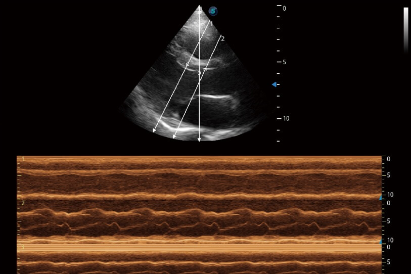
Erfasst Daten mit bis zu drei Messlinien auf einmal, um die Wandbewegung detailliert beurteilen zu können. Verbessert die Reproduzierbarkeit und Genauigkeit der linksventrikulären Messwerte erheblich.
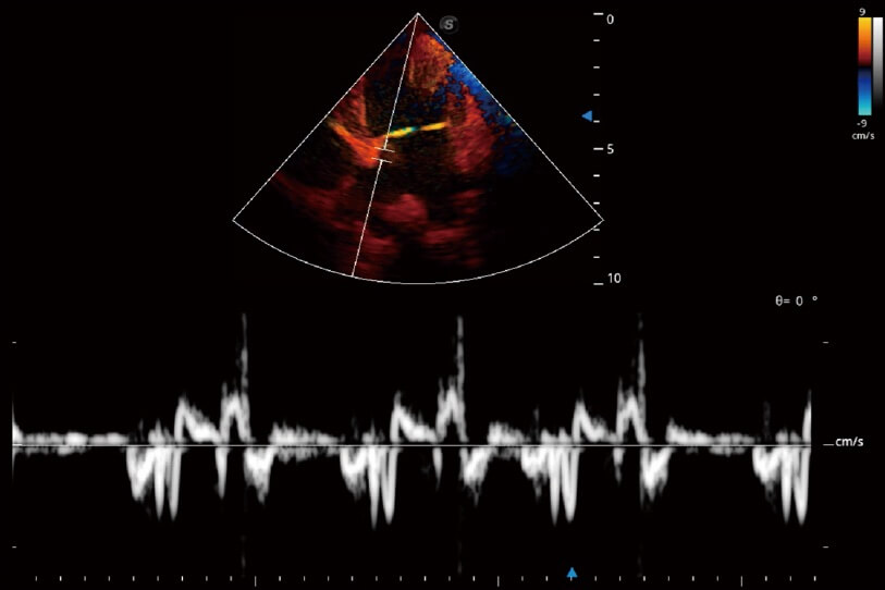
Nutzt myokardiale Doppler-Frequenzverschiebungen zur Quantifizierung der myokardialen Gewebebewegung, wobei Rot und Blau die unterschiedlichen Bewegungsrichtungen der Herzwände darstellen.
Das ProPet wurde für Tierärzte entwickelt, um ein sehr hohes Maß an Professionalität bei allen tierärztlichen Anwendungen sicherzustellen. Mit der auf den Tierarzt zugeschnittenen Software erhalten Sie eine intuitive Bedienung und schnellstmöglich eine genaue Diagnostik.
Erleichtert die Auswahl aus einer Liste von Tierarten, Schallköpfen und Kombinationen von Voreinstellungen mit nur einem Klick.
Speziell für den Veterinärbereich entwickelt, mit Feldern für den Namen des Tieres, die Tierart, die Rasse und den Kastrationsstatus.
Tierärzte können in den Systemeinstellungen die Tierart und das entsprechende grafische Untersuchungssymbol für eine bestimmte tierärztliche Anwendung festlegen.
Deckt zahlreiche Anwendungsbereiche ab, beispielsweise Reproduktion, Herz und Bewegungsapparat, und bietet die notwendigen Werkzeuge für die Bedürfnisse des Anwenders, einschließlich tierartspezifischer Formeln wie Cornell und Körperoberfläche.
Measure
Bericht
Enthält mehr als 200 veterinärmedizinische Körpermerkmale und mehr als 120 tierärztliche Anmerkungen, darunter Kleintiere, Pferde, Nutztiere, Labortiere und exotische Tiere mit mehr als 20 Arten.
Tierärztliche Körpermerkmale
Tierärztliche Anmerkungen
Spezies
Durch die täglichen Aufgaben kann die Arbeit eines Tierarztes sehr anstrengend sein. SonoScape möchte Tierärzte bestmöglich vorbereiten, damit sie sich auf das konzentrieren können, was ihnen am Herzen liegt. Unser Ziel war und ist es, das Anwendererlebnis zu verbessern.
Bietet auf Knopfdruck durch intelligente Echtzeit-Algorithmen eine intuitive 2D-, Farb- und Doppler-Bildoptimierung.
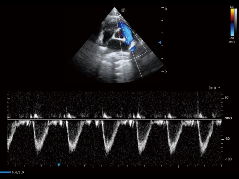
Die Funktion kann das PW/CW-Spektrum automatisch verfolgen, was dem Anwender die Messung erleichtert und vereinfacht.
Das Gerät vereint die neueste intelligente veterinärmedizinische Software mit der Monokristall-Schallkopftechnologie, um außergewöhnliche Bilder zu liefern, die auch subtilste Veränderungen erkennen lassen - bei Doggen bis hin zu winzigen Exoten - und liefert deutlich bessere klinische Ergebnisse.






