S70i Marvo

Ultraschallsystem

Wo Vielseitigkeit auf Präzision trifft

Basierend auf der fortschrittlichen C-Field+™ Architektur hat SonoScape das S70i Marvo vorgestellt – ein Premium-Ultraschallsystem, das durch beispiellose Bildklarheit und Präzision überzeugt. Es nutzt multimodale Anwendungstechnologien, um die Genauigkeit diagnostischer Ergebnisse zu verbessern und ein herausragendes Benutzererlebnis sowie eine hohe Praxistauglichkeit zu gewährleisten.

C-Field+TM Architektur

Innovation – neu definiert

  • Präzise

    Signal-Rausch-Verhältnis

    Räumliche & Kontrastauflösung

    Bildrate

  • Intelligent

    Verbesserte Effizienz

    Beschleunigtes Computing

    Gesteigerte Datenverarbeitung

Umfassende Lösung für eine sichere Beurteilung

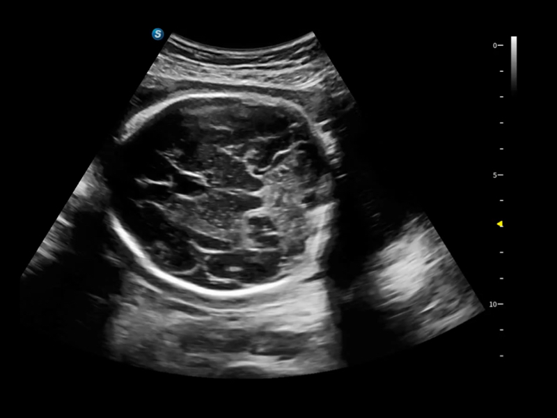
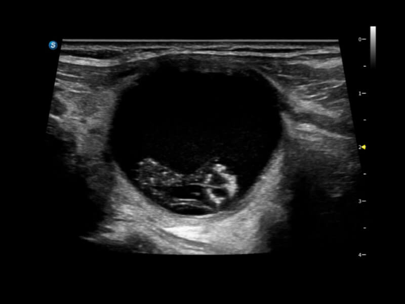
Das S70i Marvo bietet multimodale Ultraschallbildgebungstechnologien, die auf die vielfältigen Bedürfnisse verschiedener Fachabteilungen zugeschnitten sind. Seine Fähigkeiten spielen eine entscheidende Rolle bei der Ermöglichung präziser Diagnosen und der Unterstützung wirksamer interventioneller Therapien.

SWE CEUS HFR SonoFusion S-Thyroid S-MSK S-Fetus
  • S-SWE (Shear Wave Elastography) ermöglicht eine quantitative Beurteilung der Leberfibrose und zeigt eine Qualitätskarte zur Stärkung des klinischen Diagnosevertrauens.

  • Die CEUS mit hoher Bildrate stellt den Perfusionsprozess von Läsionen dynamisch und detailliert dar. Die Kombination aus MFI, MFI Time und MFI Mix ermöglicht es Ärzten, die Läsionsperfusion aus verschiedenen Perspektiven zu betrachten und dadurch einfacher und präziser zu diagnostizieren.

  • Mit einem integrierten magnetischen Sensor in der Sonde macht SonoFusion einen externen Sensor überflüssig. Es ermöglicht die Fusion von Ultraschalldaten mit CT- oder MRT-Daten durch Bildregistrierung, um eine gleichzeitige Anzeige zu erreichen und eine umfassende Krankheitsanalyse zu erleichtern.

  • S-Thyroid ist ein fortschrittliches Werkzeug zur Erkennung und Klassifizierung verdächtiger Schilddrüsenläsionen auf Grundlage der ACR-TI-RADS-Richtlinien. Es definiert automatisch die Läsionsgrenzen und erstellt anschließend einen Bericht.

  • T-MSK ermöglicht die automatische Identifikation standardisierter Gelenkebenen des Bewegungsapparates. Mit nur einem Klick werden die gewünschten Standardebenen sofort aus der Cine-Schleife extrahiert, und die anatomischen Strukturen im Bild werden hervorgehoben und kommentiert.

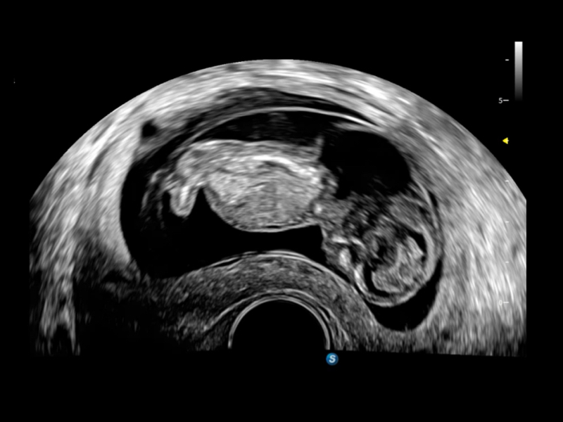
  • One-Stop-Lösung zur automatischen Erfassung und Messung von Standardebenen. Mit nur einem Klick werden 29 Standardabschnitte fetaler Ultraschallbilder intelligent identifiziert und 13 biometrische Messungen automatisch mit hoher Präzision, Genauigkeit und Effizienz durchgeführt, wodurch eine beispiellose Leichtigkeit im Betrieb erreicht wird.

Vielseitige Assistenten optimieren tägliche Workflows

Das S70i Marvo revolutioniert die Patientenversorgung mit einem optimierten Workflow, Remote-Access-Lösungen, automatischer Sondenaktivierung und einem ergonomisch optimierten Design, um die Produktivität zu steigern und überlegene Pflege zu bieten.

Sondenaufwachen

SonoSynch

SonoDrop

SonoAssistant

SonoHelp

SonoTransfer

Efficient Scanning

Interactive Connection

Lernplattform

Workflow Assistant

Sondenaufwachen

Mit einem intelligenten Bewegungsverstärkersensor unterstützen die Schallköpfe der neuen Generation die automatische Aktivierung. Benutzer profitieren von individuell einstellbaren Empfindlichkeitsstufen, die auf ihre persönlichen Präferenzen abgestimmt sind – für noch mehr Flexibilität und Effizienz bei der Untersuchung.

SonoSynch

Die Echtzeit-Diagnoseschnittstelle und die zusätzliche Kamerafreigabe, die von Sono-Synch ermöglicht, ermöglichen es, Parameter mit Multi-Useult und mehrintelligenten Geräten in Fernfernfahrt gleichzeitig zu verbinden und zu justieren, wobei medizinische Fernberatung und Tutorial durchgeführt werden.

SonoDrop

Das drahtlose Datenübertragungstool vor Ort ermöglicht es, Patientendateidaten unabhängig zu senden, einschließlich Ultraschallbild, Video und PDF-Bericht, Kliniker können den Scanprozess schnell in Echtzeit und Diagnoseergebnis an Patienten und ihre Familien weitergeben.

SonoAssistant

Hilft, den Workflow zu optimieren und gleichzeitig die Standardisierung zu erhöhen und die Tastenanfälle und die Prüfungszeit um bis zu 50% zu reduzieren.

SonoHelp

Ein inspirierendes Tutorial mit Sondenplatzierung, Anatomie-Illustration und Standard-Ultraschallbildbeispielen.

SonoTransfer

Ermöglicht das Senden des PDF-Berichts, des Bildes und der Cine-Daten vom Ultraschall-System an den freigegebenen Ordner auf dem Windows-Computer zur Anzeige.

  • Vielseitig & Elegant

  • Innovativ & Mühelos

  • Intuitiv & Ästhetisch

  • Glatt & Intelligent

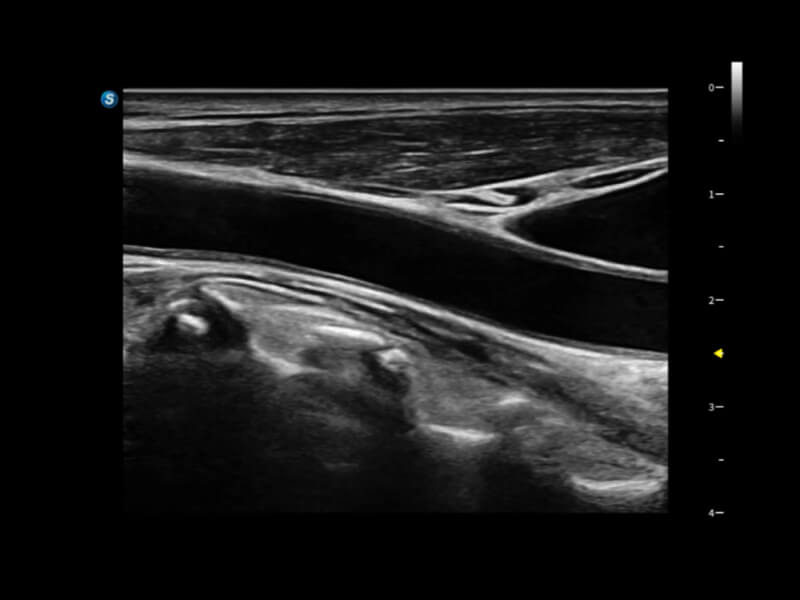
Exquisite Bildklarheit & Hämodynamik

Bildqualität steht stets im Mittelpunkt definitiver klinischer Ergebnisse. Das S70i Marvo führt evolutionäre Wandler mit hervorragender 2D-Bildklarheit und Farbsensibilität ein, um eine sicherere Beurteilung in Anatomie und Pathologie zu ermöglichen.

Premium-Wandlerlösung

Das S70i Marvo verfügt über eine Vielzahl hochwertiger Umformer, die vielseitige Anwendungen abdecken, und bietet einen breiten Frequenzbereich für sowohl eine bessere Auflösung als auch eine tiefere Durchdringung als je zuvor, wodurch die Erkennung kleinster Details und die präzise Diagnosefähigkeit verbessert werden.

Konvexarray-Sonde Lineararray-Sonde Phased-Array-Sonde Volumen-Sonde Spezialsonden

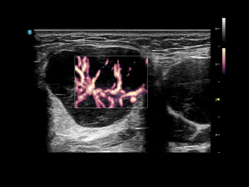
Fortschrittliche Hämodynamik

Durch die Integration vielfältiger Blutflussfunktionen erfüllt das S70i Marvo einen entscheidenden klinischen Bedarf an der präziseren Erkennung selbst schwierigster Blutflusssignale, wie zum Beispiel winziger Mikrozirkulationsströme.

  • FHR

    FHR ermöglicht die Beobachtung mikrovascularer Strukturen innerhalb der Organe mit erhöhter Empfindlichkeit und verbesserter Auflösung und gewährleistet so eine präzise Darstellung des tatsächlichen Durchblutungszustands.

  • Bright Flow

    Bright Flow ermöglicht eine 3D-ähnliche Farb-Doppler-Flow-Darstellung ohne den Einsatz eines Volumenwandlers und verbessert dadurch die Abgrenzung der Gefäßwände.

  • Micro F

    Micro F trennt subtile Blutflusssignale effizient von überlagernden Gewebebewegungen und ermöglicht eine erhöhte Empfindlichkeit sowie eine verbesserte räumliche Auflösung in der hämodynamischen Darstellung.

Verwandte Videos