P12 Elite

Noch bessere Funktionalitäten für eine optimale Versorgung

Damit das Versprechen, durch Innovation die Lebensqualität zu verbessern, eingelöst werden kann, stellt SonoScape Ihnen seine aktualisierte Lösung P12 Elite mit hochauflösender Bildgebung vor, die auf modernsten Technologien beruht, um informative Details zu liefern und Ihre Diagnosesicherheit zu erhöhen. Mit umfassenden Funktionen und optimierten Schallkonfigurationen bietet P12 Elite eine außergewöhnliche Funktionalität zur Verwaltung aller Aspekte der täglichen klinischen Praxis, die dazu beitragen, Vertrauen zwischen Ärzten und Patienten aufzubauen.

Optimierte Transducer-Familie Breiter Anwendungsbereich

  • Monokristalliner konvexer Schallkopf

  • Intrakavitärer Schallkopf

  • Linearer Schallkopf mit Verbundkristall

  • Volumenschallkopf

  • Phased-Array-Schallkopf

Herausragende Bildgebungstechnologien

Dank der überragenden Darstellungsqualität der fortschrittlichen Bildgebungstechnologien und optimierten Schallköpfe von SonoScape können Sie klinische Entscheidungen mit größerer Sicherheit treffen.

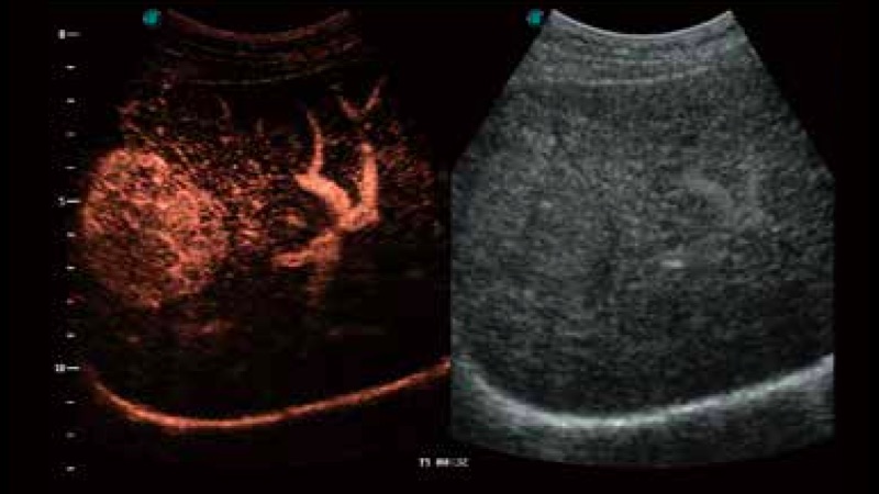
μ-Scan+

Die neue Generation der Bildgebungstechnologie μ-Scan+ verbessert die Sichtbarkeit von Organen und Läsionen erheblich. Die hochauflösende Kontrastdarstellung unterdrückt Speckle-Artefakte und bewahrt gleichzeitig die reale Gewebestruktur.

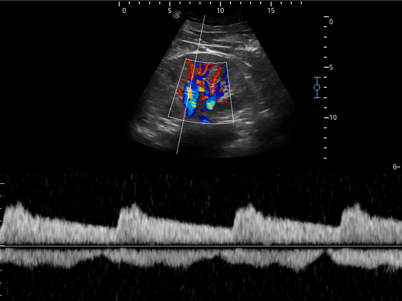
SR-Fluss

Als neue innovative Technologie verbessert SR Flow die Fähigkeit, Signale auch bei langsamer Strömungsgeschwindigkeit zu erkennen. Gleichzeitig wird die räumliche Auflösung verbessert und der Overflow überwunden, um dem Benutzer reale hämodynamische Daten zu liefern.

WideScan

Mit WideScan kann das Ultraschallbild bei Durchführung einer Echtzeituntersuchung durch Einsatz linearer oder konvexer Schallköpfe vergrößert werden, was eine bessere Sicht auf große Läsionen und anatomische Strukturen ermöglicht.

Echtzeit-Farbpanorama

Mit der Kombination aus Farbfluss und Echtzeit-Panorama ist es nun ein Leichtes, den Blutfluss einer gesamten Vene bzw. Arterie abzubilden. Da dies in Echtzeit erfolgt, kann jeder Fehler leicht zurückverfolgt und korrigiert werden, ohne dass die Untersuchung unterbrochen werden muss.

Konzipiert mit Blick auf den klinischen Einsatz

C-xlasto Bildgebung

Die C-xlaso-Bildgebung ermöglicht eine umfassende quantitative Elastizitätsanalyse. Gleichzeitig wird die Funktion durch mehrere Schallköpfe unterstützt, was hochgradig konsistente, quantitative Elastizitätsergebnisse mit guter Reproduzierbarkeit sicherstellt.

Gewebe-Dopplerbildgebung

Das P12 Elite ist mit Gewebe-Dopplerbildgebung ausgestattet, die Geschwindigkeiten und weitere klinische Angaben zu den Myokardfunktionen liefert und es dem Anwender ermöglicht, die Bewegungen der verschiedenen Strukturen des Patientenherzens zu analysieren und zu vergleichen.

Kontrastmittelverstärkter Ultraschall

Mit dem umfassenden Paket für die kontrastmittelverstärkte Ultraschallbildgebung und -quantifizierung kann der Anwender die Perfusionsdynamik in einer Vielzahl von klinischen Situationen abklären. Die einzigartige Technologie zur dynamischen Akustikkontrolle regelt effektiv den akustischen Druck des Kontrastmittels und sorgt so für eine längere Kontrastmitteldauer und bessere Perfusion der Läsionen in der Spätphase während der Untersuchung.

S-Fetus

S-Fetus beruht auf einem Deep-Learning-Algorithmus auf Basis großer Datenmengen und ist eine brillante Ein-Schritt-Lösung für die automatische Erfassung und Messung von Standardebenen. Mit nur einem Klick werden die üblichen Ergebnisse der fetalen Biometrie mit hoher Intelligenz, Genauigkeit und Effizienz ermittelt, mit dem Ziel, die Bedienung so einfach wie nie zuvor zu gestalten.

Vis-Nadel

Die Vis-Nadel wird durch Steuerung und Ablenkung des Ultraschallstrahls realisiert. Diese Funktion lässt die Lage der Nadel im Gewebe besser erkennen, so dass das umliegende Gewebe möglichst wenig geschädigt wird, was die initiale Erfolgsrate erhöht und das Risiko einer Nadelstichverletzung senkt.

S-Live

Mit S-Live lassen sich subtile anatomische Merkmale detailliert abbilden, was eine intuitive Diagnose mit Echtzeit-3D-Bildern ermöglicht und die Patientenkommunikation bereichert.

Anwenderfreundliches Konzept

  • 23,8-Zoll-LED-Monitor (optional), drehbar um 220°Grad

  • Höhenverstellbares und drehbares Bedienfeld

  • Kippbarer 13,3-Zoll-Touchscreen

  • Abnehmbare Hochleistungsbatterie

  • Gel-Wärmer mit mehrstufiger Temperaturregelung

  • Bewegliche Tastatur

Interaktive Behandlungsmöglichkeit für den Benutzer

  • Sono-Hilfe

    Ein motivierendes Lernprogramm mit Beispielen für die Schallkopfplatzierung, anatomischen Darstellungen und Standard-Ultraschallbildern. Als nützliches Nachschlagewerk, auf das sich weniger erfahrene Kliniker verlassen können, deckt die Sono-Hilfe eine Vielzahl von Anwendungen ab, darunter Leber, Niere, Herz, Mamma, Schilddrüse, Geburtshilfe, Gefäße usw.

  • Sono-Drop

    Sono-Drop ermöglicht die kabellose Verbindung zwischen dem P12 Elite und Smartphones, über die Ultraschallbilder an Patientinnen und Patienten sowie deren Angehörige weitergegeben werden können.

  • Sono-Synch.

    Die durch Sono-Synch ermöglichte Echtzeitschnittstelle und die gemeinsame Kameranutzung ermöglichen es, zwei Ultraschallgeräte über eine große Entfernung hinweg miteinander zu verbinden und medizinische Konsultationen sowie Einweisungen aus der Ferne durchzuführen.

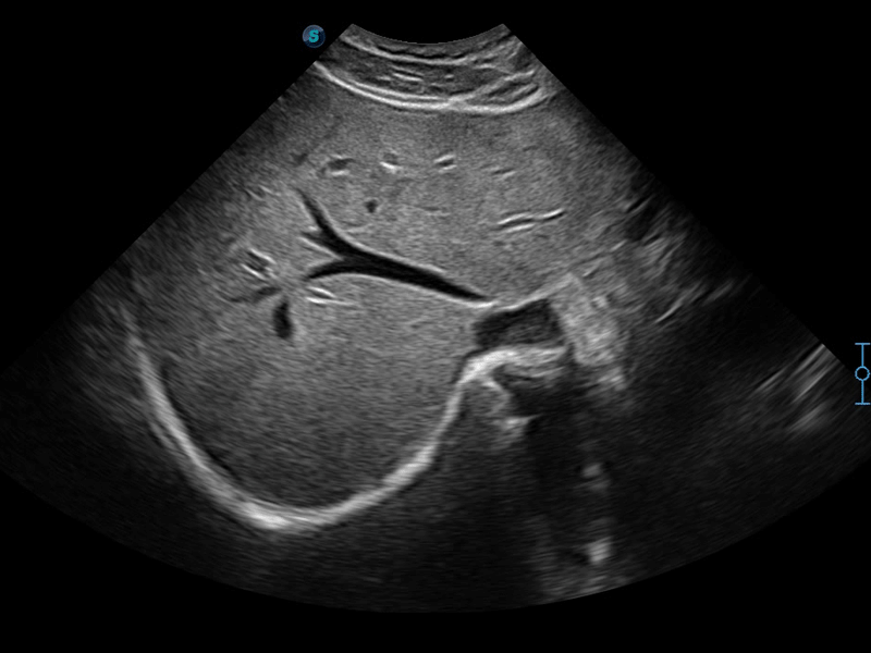
Bildergalerie